Все блоги

Все записи
 Выпуск 19 Допплеровский угол     Коллеги, для практической работы по допплерографии хочу предложить вам  видео-материал, изложенный  на канале УЗДГ-Актуальные вопросы практической допплеро...
 Коллеги, для практической работы по допплерографии хочу предложить вам  видео-материал, изложенный  на канале УЗДГ-Актуальные вопросы практической допплерографии. Елизарова Р.А. Канал посвящается Актуальным вопросам ПРАКТИЧЕСКОЙ допплерографии, тем вопросам, которые не освещен...
КАФЕДРА ЛУЧЕВОЙ ДИАГНОСТИКИ МБУ ИНО ФГБУ ГНЦ ФМБЦ им. А.И. БУРНАЗЯНА ФМБА РОССИИ             Приглашает специалистов ультразвуковой диагностики на XXII(a) курс повышения квалификации (18 академических часов), «Ультразвуковая э...
 Коллеги, для практической работы по допплерографии хочу предложить вам  видео-материал, изложенный  на канале УЗДГ-Актуальные вопросы практической допплерографии. Елизарова Р.А. Канал посвящается Актуальным вопросам ПРАКТИЧЕСКОЙ допплерографии, тем вопросам, которые не освещен...
Пациентка 27 лет, 3 беременности. Последние роды 2 года назад, закончила грудное вскармливание год назад. В 3м триместре последней беременности в правой МЖ определялось плотное болезненное образование, которое увеличилось в размере к моменту родов. Пациентка проживала на тот момент в Морокко – данны...
Вы, наверняка, знаете, что у всех УЗИ аппаратов GE серии Voluson есть разные версии, которые обозначаются как BT, например BT13, BT16, BT18. Давайте разберемся, что вообще такое BT? BT означает BreakThrough - «прорыв». Когда GE выпускала новую версию Voluson E8, они называли это Voluson E8 Brea...
Друзья, я много уделял внимание в постах практической пользе, но решил немного затронуть теоретический аспект. Давайте сегодня разберем и повторим базовую информацию: как устроен датчик узи? ✔️ Конструктивно ультразвуковой датчик состоит из сканирующей головки, кабеля и коннектора.⠀
Коллеги, для практической работы по допплерографии хочу предложить вам  видео-материал, изложенный  на канале УЗДГ-Актуальные вопросы практической допплерографии. Елизарова Р.А. Канал посвящается Актуальным вопросам ПРАКТИЧЕСКОЙ допплерографии, тем вопросам, которые не освещены дол...
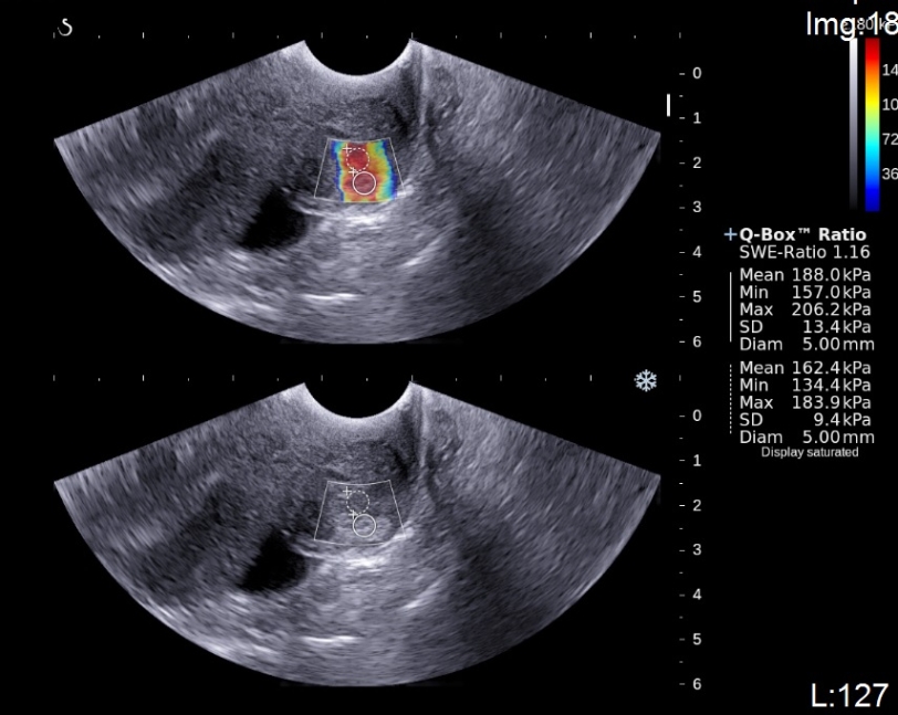
Результаты выполненного исследования дают основание подтвердить выдвинутую гипотезу о том, что вариабельность занижает величину пороговых значений упругости печени и указывают на необходимость их пересмотра

Войти

Если вы впервые на сайте, заполните, пожалуйста, регистрационную форму.