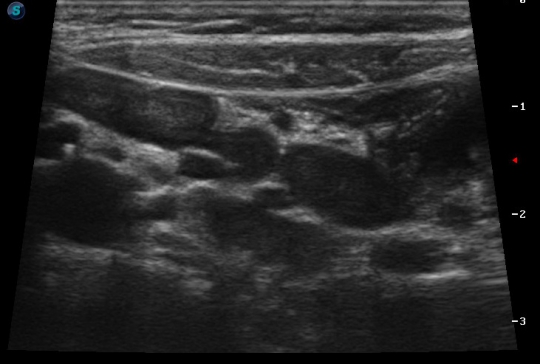
Лимфаденопатия ворот печени по ходу гепатодуоденальной связки. Отсутствие усиления кровотока не в пользу лимфаденита... Было бы интересно знать, какого состояние других лимфоузлов (парааортальных, мезентериальных, ворот селезёнки, периферических...), размеры и структуру печени и селезёнки. Тенденция лимфоузлов к слиянию в "пакет" (очень похоже - слева не один узел, а два слившихся) наводят на нехорошие мысли в плане дифференциальной диагностики (ЛГМ, другие лимфомы...).
Для лимфопролиферативных заболеваний характерно изменение формы, структуры и васкуляризации лимфоузлов (обычно они округлые, гипоэхогенные и гиперваскуляризированные).
Интересно, а Симановский, Н., Хиллер, Н. значение ультразвукового обнаружения увеличенных лимфатических узлов в брюшной детей. J Ultrasound Med 2007; 26: 581-584 10мм лимфатический узел по длинной оси, или по короткой?
По короткой. У взрослых пациентов это основной радиологический маркер лимфоаденопатии. У детей также некоторые специалисты рекомендуют использовать в качестве маркера лимфоаденопатии диаметр по коротко оси более 8 мм.
Гипоэхогенные образования с четкими неровными контурами, со слабо выраженным центральным эхокомплексом- признаки увеличенных лимфоузлов брюшной полости.
Погодин Дмитрий Юрьевич
Жаляускас Альгирдас Броняус
Мельникова Людмила Александровна
Кабанов Владимир Анатольевич
Пьянков Василий Алексеевич
Пьянков Василий Алексеевич
Пьянков Василий Алексеевич
Цемахова Людмила Михайловна
Цемахова Людмила Михайловна
Мельникова Людмила Александровна
Жаляускас Альгирдас Броняус
Пьянков Василий Алексеевич
Ведякина Нелля Федоровна
Величко Сергей Владимирович
Королева Марина Владимировна
Караулова Наталья Владимировна
Пьянков Василий Алексеевич
Калина Лидия Александровна
Соколенко Алена Михайловна
Караулова Наталья Владимировна
Пьянков Василий Алексеевич
Сидоров Владимир Александрович
Демидова Инна Владимировна
Есаулова Маргарита Алексеевна
Ильков Александр Львович
Агаева Зоя Абуевна
Юмагужин Артур Гафурович
Ильков Александр Львович
Латыпова Елена Егоровна
Гамидова Нигяр Алиевна
Тихонова Наталья Николаевна
Cojocaru Valentin Chiril
Косицына Алла Борисовна
Сидоров Владимир Александрович
Сидоров Владимир Александрович
Бирагова Земфира Габоевна
Ларионова Алевтина Викторовна
Каримов Эдуард Талгатович
Перфильев Виктор Васильевич
Борисов Александр Иванович
Пьянков Василий Алексеевич
Пьянков Василий Алексеевич
Кубрина Марина Влдимировна
Айдамиров Гаджимурад Нурутдинович
Докучаев Константин Владимирович
Перфильев Виктор Васильевич
Аржанцев Александр Геннадьевич
Сидоров Владимир Александрович
Воронецкая Наталья Сергеевна
Бейсенбаева Гульнара Дюсенбаевна
Пьянков Василий Алексеевич
Колесова Светлана Олеговна
Бабочкин Алексей Борисович
Горпинюк Нина Петровна
Гительман Леонид Михайлович
Агаева Зоя Абуевна
Лебедева Екатерина Николаевна
Пьянков Василий Алексеевич
Пьянков Василий Алексеевич
Алымова Оксана Вячеславовна
Пьянков Василий Алексеевич
Лебедева Екатерина Николаевна
Воронецкая Наталья Сергеевна
Савкин Дмитрий Сергеевич
Пьянков Василий Алексеевич
Попович Ольга Михайловна
Попов Иван Пантелеевич
Коненко Ирина Сергеевна
Пьянков Василий Алексеевич
Коненко Ирина Сергеевна
Макарова Светлана Евгеньевна
Пьянков Василий Алексеевич
Рубан Тина Михайловна
Крапчетова Татьяна Александровна
Скорынина Татьяна Андреевна
Хачатрян Гаяне Айказовна
Зинченко Лариса Лилитовна
Федина Анна Николаевна
Телегуз Александр Игнатьевич
Пьянков Василий Алексеевич
Балацкая Марина Викторовна
Пьянков Василий Алексеевич
Слуцкая Наталья Владимировна
Балацкая Марина Викторовна
Малахова Татьяна Константиновна
Пьянков Василий Алексеевич
Степанова Оксана Анатольевна
Cтарцева Светлана Васильевна
Abdiev Ravshan Bakhodirovich
Малтызова Разита Петровна
Филиппов Дмитрий Юрьевич
Базилова Зейнеп Рахимбаевна
Пьянков Василий Алексеевич
Пьянков Василий Алексеевич
Цветкова Алла Михайловна
Базилова Зейнеп Рахимбаевна
Бокова Лиза Магомедовна
Пьянков Василий Алексеевич
Тенсина Анастасия Тарасовна
Жемчугов Виктор Валерьевич
Горожанцева Анна Владимировна